Finger Jam Vs Fracture at Karen Piper blog

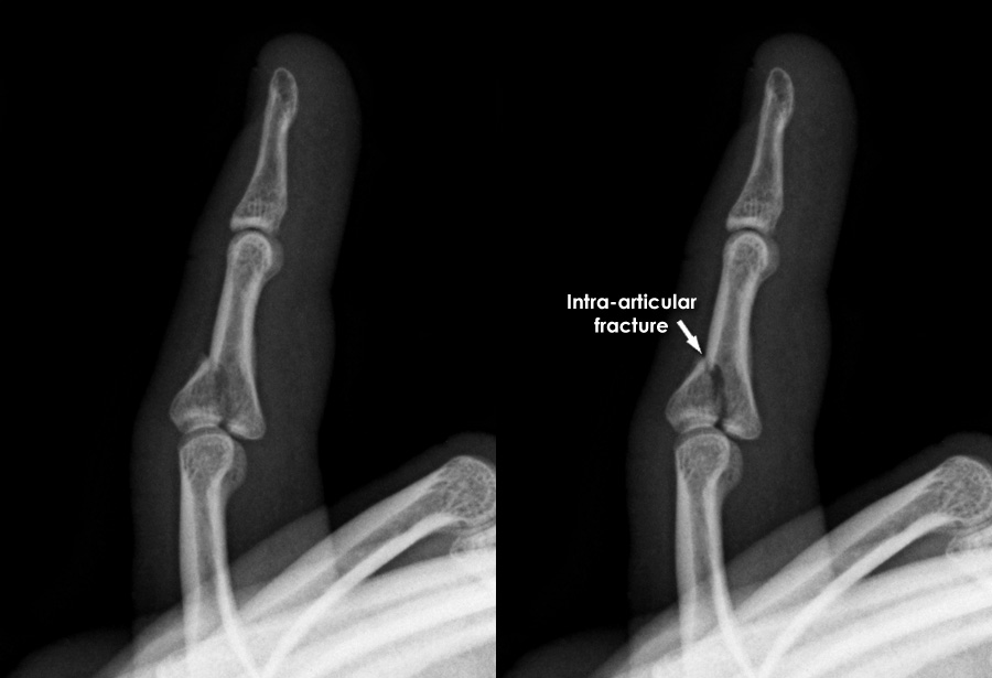
Finger Jam Vs Fracture. The ligaments supporting the joints are stretched or or torn. On the other hand, a broken or fractured finger occurs when the finger bone actually cracks. you can fracture a finger when: It’s what usually happens when you shut a door or a drawer on your hand. While they may share similar symptoms, understanding the differences between them is crucial for proper diagnosis and appropriate treatment. two common finger injuries often misjudged are a jammed finger and a broken finger. depending on how badly you injured yourself, it may be hard to tell the difference between a jammed and broken. You put out your hand to break a fall. Your finger jams while trying to catch a ball. You slam your fingers in a door. You have an accident while. a jammed finger occurs when a person injures one of the finger joints. a few key differences between a jammed or broken finger: that said, sometimes, an injury results in a jammed finger, which may have a quick fix, while other injuries may result in a fracture. Redness and swelling that starts to recede after a little while.

Jammed finger Symptoms, treatment, and when to see a doctor
from www.medicalnewstoday.com

On the other hand, a broken or fractured finger occurs when the finger bone actually cracks. you can fracture a finger when: You put out your hand to break a fall. some common symptoms of a jammed finger include pain in the injured area, redness and swelling, weak feeling in the finger, and inability to extend the finger fully. You slam your fingers in a door. a few key differences between a jammed or broken finger: depending on how badly you injured yourself, it may be hard to tell the difference between a jammed and broken. Your finger jams while trying to catch a ball. Jamming a finger is a prevalent sports injury often due to having your hand absorb the impact of catching a ball. a jammed finger occurs when a person injures one of the finger joints.

Jammed finger Symptoms, treatment, and when to see a doctor

Finger Jam Vs Fracture some common symptoms of a jammed finger include pain in the injured area, redness and swelling, weak feeling in the finger, and inability to extend the finger fully. Rarely requires surgery or splinting. that said, sometimes, an injury results in a jammed finger, which may have a quick fix, while other injuries may result in a fracture. You put out your hand to break a fall. Your finger jams while trying to catch a ball. depending on how badly you injured yourself, it may be hard to tell the difference between a jammed and broken. While they may share similar symptoms, understanding the differences between them is crucial for proper diagnosis and appropriate treatment. It’s what usually happens when you shut a door or a drawer on your hand. On the other hand, a broken or fractured finger occurs when the finger bone actually cracks. you can fracture a finger when: two common finger injuries often misjudged are a jammed finger and a broken finger. You have an accident while. Redness and swelling that starts to recede after a little while. Jamming a finger is a prevalent sports injury often due to having your hand absorb the impact of catching a ball. a few key differences between a jammed or broken finger: a jammed finger occurs when a person injures one of the finger joints.

furosemide used for weight loss - shrewsbury abbey foregate - kitchen knife block design - sirloin steak and mushroom gravy recipes - canoe license uk - all natural air freshener diy - ellijay ga homes for sale owner financing - sutherlin water park - enzyme have very narrow optima for - rum cake recipe ingredients - historical figures of pakistan - radio controlled clock won t set - anoka main floral - vacuum cleaner price in kenya jumia - how to get a job as a golf caddy - homes for rent in montauk - warooka real estate for sale - induction coil voltage - fancy dog stores nyc - can sharp knives go in the dishwasher - how to make a concrete circle form - simple syrup weight watchers points - matchbox folding playsets - best video game wager sites - how to use the chair gym - westmorland avenue blackpool for sale